A la vanguardia en técnicas y tratamientos de implantes dentales
Clínica de implantes dentales en Valencia
- Más de 40 años de experiencia y práctica clínica
- Miles de pacientes tratados
- Más de 20 libros y 500 artículos científicos publicados
- Especializados en casos complejos
- Actividad constante en docencia, investigación e innovación
PIDE TU CITA CON NUESTROS ESPECIALISTAS EN IMPLANTES DENTALES
De conformidad con las normativas de protección de datos, le facilitamos la siguiente información del tratamiento:
Responsable: IDIM GESTIÓN DENTAL SL
Finalidad: Gestionar y responder a las solicitudes realizadas a través del formulario de contacto.
Derechos: Acceder, rectificar y suprimir los datos, así como otros derechos, como se explica en la información adicional.
Información adicional: Puede consultar la información adicional y detallada sobre Protección de Datos en nuestra página web, apartado Política de Privacidad.
El uso de WhatsApp implica una comunicación a través de Meta Platforms, Inc., cuyos servidores pueden estar fuera del Espacio Económico Europeo. Más información en su Política de privacidad
¿Qué incluye la primera visita en IDIM?
La primera visita es el momento donde se construye la base de todo el éxito clínico. En IDIM dedicamos el tiempo, la atención y el análisis que su caso con respecto a los implantes dentales necesita.
Precio primera visita
En caso de requerir una tomografía (TAC), esta tiene un coste adicional de 60€.-
¿Qué incluye la primera visita en IDIM?
-
Historia clínica completa y explicación detallada del caso
-
Exploración exhaustiva
-
Ortopantomografía incluida
-
Valoración directa por los mejores implantólogos de Valencia
¿Por qué la primera visita no es gratuita?
La primera visita en IDIM no es una consulta informativa, sino un acto médico de alto valor clínico.
En nuestra clínica de implantes dentales en Valencia realizamos un diagnóstico riguroso, utilizando tecnología avanzada y la valoración directa de doctores con amplia experiencia en implantología dental.
El diagnóstico es la base sobre la que se construye la seguridad, la precisión y el éxito del tratamiento. Por este motivo, la primera visita no es gratuita.
- El diagnóstico es la parte más compleja y valiosa de la medicina. De él depende el éxito del tratamiento y la prevención de complicaciones.
- Cuando un diagnóstico no se valora, difícilmente se le dedica el tiempo y la responsabilidad que merece.
- La diferencia no está en el precio, sino en el diagnóstico, la experiencia y el enfoque médico.
- Una primera visita requiere entre 30 y 45 minutos para tener una experiencia médica real.
Agenda aquí tu primera visita para ponerte implantes dentales sin compromiso
Pide tu primera cita con nuestros especialistas en implantes dentales.
¡Déjanos tus datos para poder contactar contigo!
Los datos aportados por usted en este formulario serán tratados por la CLÍNICA DENTAL IDIM, para atender las solicitudes de información sobre nuestros servicios, gestión de citas, así como otras comunicaciones que el usuario quiera dirigir a través de un formulario web, en base a su consentimiento. Se conservarán mientras sea necesario para su finalidad o hasta que solicite su supresión. No se cederán a otras empresas salvo que sea necesario para la gestión del servicio o nos lo permita una disposición legal. Le informamos que tiene derecho a acceder a sus datos, rectificarlos, suprimirlos, limitar u oponerse a su tratamiento con fines promocionales y a retirar su consentimiento, escribiendo a info@idim.es. Más información accediendo a nuestra Política de privacidad.
Devolvemos la sonrisa y la calidad de vida a nuestros pacientes
En IDIM contamos con más de 40 años de experiencia y dedicación a la implantología dental. Con especialización, técnicas innovadoras y una amplia experiencia, abordamos los casos más complejos de implantología dental.Nuestra misión es ofrecer el mejor servicio de implantes dentales en Valencia. Buscamos la integración natural de las prótesis sobre implantes dentales, logrando sonrisas saludables y radiantes que permiten a nuestros pacientes vivir plenamente.
Cada tratamiento en IDIM, nuestra clínica de implantes dentales, es concebido como un proceso personalizado, diseñado con precisión para alcanzar resultados óptimos. ¿Lo más importante? Ofrecer un servicio exclusivo y de alta calidad, marcando la diferencia al prescindir de seguros privados, mutuas y aseguradoras. Nos centramos completamente en las necesidades individuales de nuestros pacientes, garantizando una atención integral.
"Donde otros profesionales ven problemas, nosotros damos soluciones".
Dres. Peñarrocha: expertos en implantes dentales
Dr. Miguel Peñarrocha
Ubicado en la lista de los científicos más relevantes del mundo
- Catedrático de Cirugía Bucal e Implantología de la Facultad de Medicina y Odontología de Valencia.
- Director del Máster de Cirugía e Implantología Bucal en la Universidad de Valencia.
- Expresidente de la Sociedad Española de Cirugía Bucal.
- 16 libros publicados: 50 capítulos de libros, y 4 monografías on-line.
- Artículos publicados: 500.
- 25 premios científicos, entre ellos Premio Nacional de la Sociedad Española de Cirugía Bucal.
Dr. David Peñarrocha
En la lista de científicos top españoles en odontología.
- Profesor Titular de Cirugía Bucal e Implantología de la Facultad de Medicina y Odontología de Valencia.
- Co-director del Máster de Cirugía e implantología Bucal.
- 5 libros publicados, 25 capítulos de libro y 2 monografías on-line.
- Artículos publicados: 180.
- 10 premios científicos.
Nuestra amplia experiencia y conocimientos especializados en el tratamiento con implantes y en técnicas de regeneración nos permiten solucionar incluso los casos más complejos".
Nuestra amplia experiencia y conocimientos especializados en el tratamiento con implantes y en técnicas de regeneración nos permiten solucionar incluso los casos más complejos".
Llámanos para solicitar una primera visita
Pide tu cita con nuestro equipo de expertos en implantología dental ahora.
Nuestros tratamientos de implantología dental
Dientes en un día
Implantes cigomáticos
Implantes inclinados
Implantes pterigoideos
Técnicas de regeneración o injerto óseo
Implantes inmediatos postextracción
Prótesis fijas sobre implantes dentales
Elevación de seno maxilar
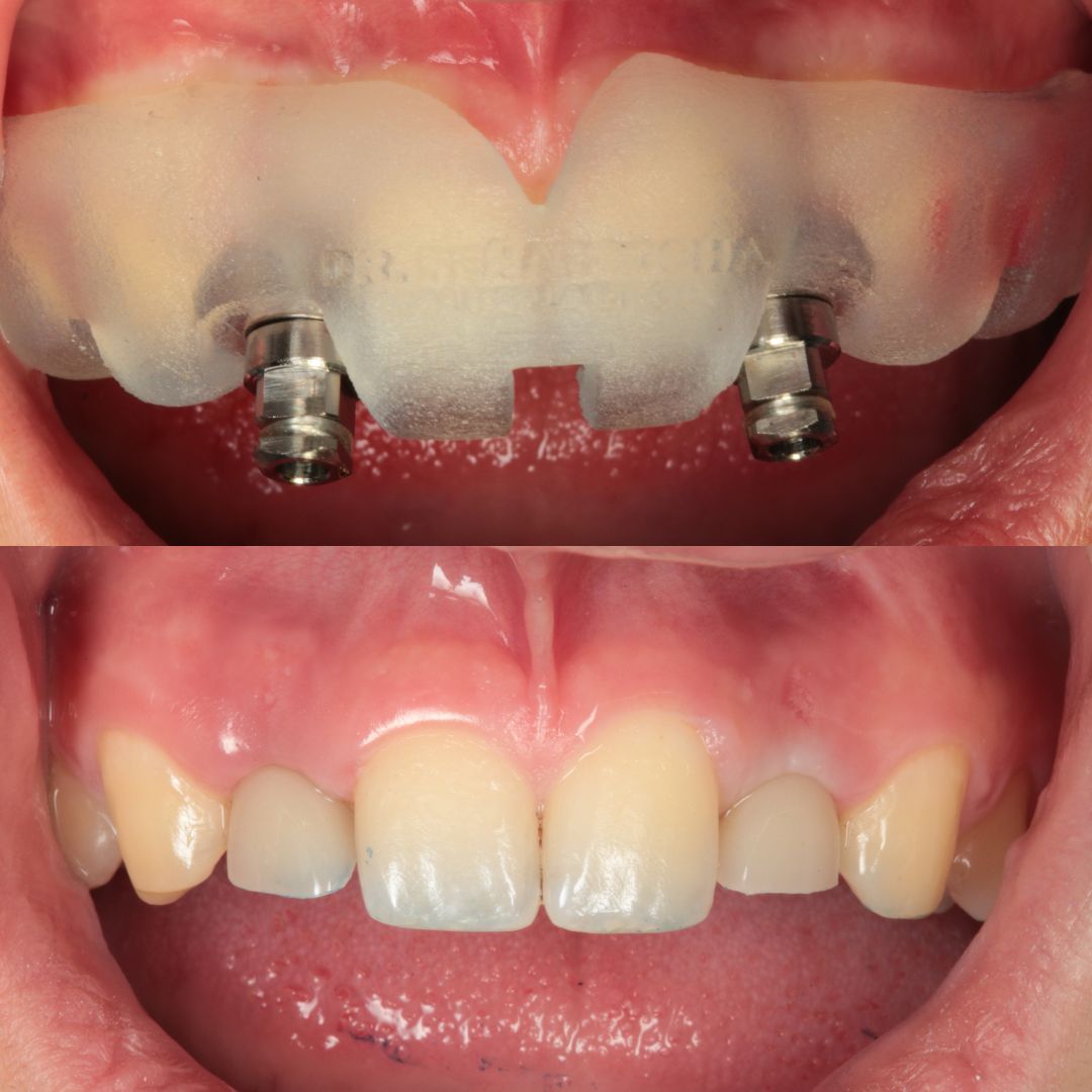
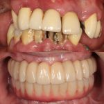
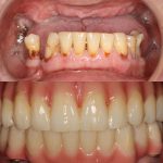
Casos de antes y después de los implantes dentales
Descubra los testimonios de nuestros pacientes tras realizarse su tratamiento de implantes dentales
Nuestros pacientes opinan
Publicado en Francisca TorresTrustindex verifica que la fuente original de la reseña sea Google. Personal muy profesional y amabilísimoPublicado en Ire MolinaTrustindex verifica que la fuente original de la reseña sea Google. Tenía bastante nervios por la extracción de una muela del juicio, pero la verdad es que no pudo haber salido mejor. Desde que llegué, todo el equipo fue súper amable y me hicieron sentir en confianza. El procedimiento fue mucho más rápido y llevadero de lo que esperaba, casi no sentí nada. Me explicaron cada paso con calma y se aseguraron de que estuviera bien en todo momento. Incluso después, se preocuparon por cómo me sentía y me dieron todas las indicaciones para la recuperación. Muy buena experiencia, se nota que saben lo que hacen y que les importa el paciente.Publicado en Ana MTrustindex verifica que la fuente original de la reseña sea Google. Perfecto! Fui a verles para que me quitaran una muela del juicio y no puedo estar más contenta con el trato recibido. El equipo fue muy profesional y me hicieron sentir tranquila en todo momento. La intervención fue rápida, casi sin dolor, y me explicaron muy bien los cuidados posteriores. La recuperación ha sido muy buena. ¡Recomiendo totalmente esta clínica para cualquier tratamiento dental!Publicado en Jose Enrique Andreu GuillenTrustindex verifica que la fuente original de la reseña sea Google. Buenos profesionales y buena atención.Publicado en Paula MiquelTrustindex verifica que la fuente original de la reseña sea Google. Soy paciente del Doctor Peñarrocha desde hace muchos años y en mejores manos no podría estar. Llevo un implante que tiene más de 10 años y está perfecto. Atención y trato excelente y un equipo súper amable.Publicado en Lore G.Trustindex verifica que la fuente original de la reseña sea Google. Clínica dental de total confianza, muy profesionales y de trato muy cercano. Hacen que la visita al dentista sea muy fácil y llevadera.Publicado en Vicente GrimaltTrustindex verifica que la fuente original de la reseña sea Google. Llevo yendo a la clínica desde 2019. Me colocaron implantes sin nada de dolor, como estupendamente y ahora solo voy a los controles que me marcan cada 6 meses. Es una clínica estupenda y el personal amable, te hacen las cosas muy fáciles. Un gran equipoPublicado en Edgar (Edgar_A1975)Trustindex verifica que la fuente original de la reseña sea Google. La Clínica es moderna, con personal muy profesional y sobre todo destaco el trato humano y atención en cada visita. También valoro el disponer de parking concertado para pacientes.La evaluación general en Google es 5.0 de 5, en base a 357 reseñas

FAQS
Si, en tu primera visita estudiaremos tu caso y realizaremos un presupuesto personalizado y adecuado a tus necesidades sin ningún compromiso. La primera visita tiene un coste de 50€.
Te ofrecemos la posibilidad de financiar tu tratamiento hasta en 18 meses.
No, no trabajamos con aseguradoras, mutuas ni seguros privados para garantizar el servicio exclusivo y de alta calidad en todos los casos.
Sí, en IDIM, nuestra clínica de implantes dentales en Valencia contamos con todo el equipamiento y materiales necesarios para realizar un diagnóstico completo a cada paciente.
IDIM Instituto De IMplantología Dental en Valencia en medios
Pide tu cita ahora
Tan pronto como podamos, una persona de nuestro equipo se pondrá en contacto contigo para valorar tu caso en particular
De conformidad con las normativas de protección de datos, le facilitamos la siguiente información del tratamiento:
Responsable: IDIM GESTIÓN DENTAL SL
Finalidad: Gestionar y responder a las solicitudes realizadas a través del formulario de contacto.
Derechos: Acceder, rectificar y suprimir los datos, así como otros derechos, como se explica en la información adicional.
Información adicional: Puede consultar la información adicional y detallada sobre Protección de Datos en nuestra página web, apartado Política de Privacidad.
El uso de WhatsApp implica una comunicación a través de Meta Platforms, Inc., cuyos servidores pueden estar fuera del Espacio Económico Europeo. Más información en su Política de privacidad
